BAEGOT TOP DENTAL CLINIC
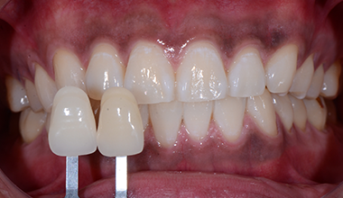
치아미백
치아에 손상을 주지 않고 치아를 밝게 하는 술식으로
치아를 원래 색으로 회복시키거나
하얗게 치료하는 치료법입니다.
-
-
치아 변색의 외부요인
커피, 와인, 콜라 등 색소가 함유된 음료나 음식물에 의해 치아가 변색이 되는 경우를 말합니다. 흡연 또한 대표적인 외부요인입니다.
-
-
치아 변색의 내부요인
치아의 내부구조가 어두워지고 누렇게 되는 것을 말합니다. 어린 시기에 불소를 과도하게 섭취하거나 태아기에 임신부가 테트라사이클린 항생제를 복용하면 치아가 변색될 수 있습니다.


