BAEGOT TOP DENTAL CLINIC
장치별 치아교정
-
메탈 교정
치아 교정에 가장 많이 사용되는 재료로 정밀도가 우수하고 음식물의 부착이나 착색이 적어 관리가 용이한 교정장치입니다.
-
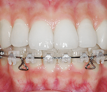
세라믹 교정
치아 색상과 흡사한 세라믹 재질의 브라켓을 치아 외부에 부착하는 것으로 기존 메탈 교정 장치에 비해 심미적인 장치입니다.
-
클리피씨 교정
자가 결찰 교정인 클리피씨 교정은 브라켓 자체에 열고 닫는 문짝 형식의 장치가 있어 스스로 와이어를 고정시켜 줄 수 있는 브라켓입니다.
-
데이몬 교정
데이몬 교정은 철사를 묶어 고정하는 것이 아닌 슬라이딩 도어 형식의 교정 장치입니다. 치아를 원하는 위치로 더욱 빠르고 쉽게 움직일 수 있어 치료 기간이 4~6개월 정도 단축될 수 있습니다.
-
데이몬 클리어
기존 데이몬 교정의 단점인 심미성이 보완된 장치입니다. 브라켓 크기가 작으며 치아 색상과 비슷한 세라믹으로 제작하여 매우 심미적입니다.
-
콤비 교정
설측, 순측 교정을 혼합하여 사용하는 교정 방법입니다. 윗니는 보이지 않게 혀 안쪽으로 붙이는 설측 교정, 아랫니는 일반 순측 교정장치로 교정하는 방법입니다.
-
설측 교정
치아의 바깥 면에 부착되는 일반적인 교정장치와 달리 치아의 안쪽 면에 교정장치가 부착되어 겉으로 교정 장치가 보이지 않는 교정 방법입니다.
-
투명 교정
특수 강화 플라스틱으로 된 틀을 사용하여 치아를 움직여 교정하는 치료방법입니다. 기존의 브라켓을 치아에 부착하여 고정하는 방식과는 달리 탈착이 가능하며 심미적입니다.


