BAEGOT TOP DENTAL CLINIC
충치치료
사람마다 치아의 크기, 모양, 마모 등이 모두 다릅니다.
때문에 개별 구강 상태에 맞는 맞춤 치료 계획으로
소중한 자연치아를 최대한 살릴 수 있도록 해야 합니다.
-
1. 법랑질 충치
치아 겉면인 법랑질의 충치로 통증이 거의 없습니다.
-
2. 상아질 충치
법랑질 안쪽에 있는 상아질까지 충치가 진행되어 뜨겁거나 차가운 음식을 먹으면 시린 증상이 나타납니다.
-
3. 치수염 충치
상아질 안쪽 신경까지 염증이 진행되어 극심한 통증으로 참기 어려운 정도가 됩니다.
-
4. 치수 괴사
치아 내부에 있는 조직이 괴사되고, 뿌리 주변의 염증으로 인하여 뼈가 점차 소실됩니다.
충치 치료방법
-
레진
심미성이 우수하고 치아 삭제량이 적어 주로 잇몸 부위의 치아가 손상되어 시린 경우, 치아 사이 공간 치아가 깨진 경우에 사용됩니다.
-
세라믹
세라믹은 강도가 높고 심미성이 우수하여 자연치아와 가장 가깝게 치료가 가능합니다. 외부 충격 및 접착력이 우수한 치과 재료입니다.
-
골드
특성상 잘 늘어나고 펴지기 때문에 치아의 형태에 따라 정확하게 만들기 쉽습니다. 또한 인체에 무해한 치과 재료입니다.
인접면 우식
충치치료 CASE
CASE 01
-
치료 전 -
치료 중 -
치료 중 -
치료 후
CASE 02
-
치료 전 -
치료 중 -
치료 중 -
치료 후
인레이
충치치료 CASE
CASE 01
-
치료 전 -
치료 중 -
치료 중 -
치료 후
CASE 02
-
치료 전 -
치료 중 -
치료 중 -
치료 후
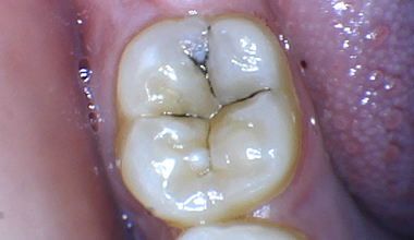
소구치대구치레진
충치치료 CASE
CASE 01
-
치료 전 -
치료 중 -
치료 후 -
2년 후
CASE 02
-
치료 전 -
치료 중 -
치료 후 -
2년 후


