BAEGOT TOP DENTAL CLINIC
인레이 치료
치아의 썩은 부위를 제거한 후 금이나
레진 또는 세라믹으로 손실된 부분의 치아 원형과
똑같은 모양을 만들어 접착제로 붙여 넣어
썩은 치아의 기능과 형태를 회복시켜 주는 치료입니다.
| 금 인레이 | 금은 자연치아와 가장 유사한 물리적 성질로 생체 적합성을 가지고 있어 오래 전부터 썩은 치아를 대체하여 사용해 왔습니다. 치아의 손상 부위가 큰 경우에도 사용 가능하며 오랫동안 사용할 수 있습니다. |
| 레진 인레이 | 금에 비해 덜 단단하지만 접착력이 우수하고 비용이 저렴하며 기존 치아 색과 유사한 장점이 있습니다. |
| 세라믹 인레이 | 레진보다 강도가 좋아 안정성이 비교적 좋은 편이며 기존의 치아와 색이 유사하기 때문에 심미적으로 유리합니다. |
BAEGOT TOP DENTAL CLINIC
크라운 치료
크라운 치료는 충치를 모두 제거한 후
치아 전체를 덮어 씌워 치아를 보호하는 충치 치료입니다.
충전재에 따라 골드 크라운, PFM, 지르코니아 크라운 등으로 나뉩니다.
| Gold Crown ( 금니 ) | 가장 생체 친화적인 금을 이용하여 치아를 덮는 크라운입니다. |
| PFM ( 교합면 메탈 ) | 겉은 자연치아와 동일한 색의 세라믹이 도포되고 안쪽은 합금 혹은 금합금을 사용하여 크라운에 가해지는 충격을 지지합니다. |
| Zirconia ( 지르코니아 ) | 최근 가장 많이 사용하는 크라운 종류로 기존의 심미적 재료에 비해 강도를 강화하여, 치아색 재료 중 가장 강한 강도를 가지는 크라운입니다. |
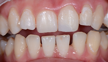
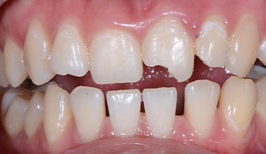
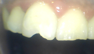
깨진 치아
보철치료 CASE
-
치료 전 -
치료 후
절단면 레진
보철치료 CASE
CASE 01
-
치료 전 -
치료 후
CASE 02
-
치료 전 -
치료 후


