본문 바로가기

BAEGOT TOP DENTAL CLINIC

발치 즉시 임플란트

치아를 발치와 동시에 임플란트를 심는 방법으로 골소실을 줄이고 잇몸 위축을 예방할 수 있습니다.
통증이 적어 일상 복귀도 가능하고 불편함은 물론 치료 기간도 단축시킬 수 있습니다.
하지만 모두가 가능한 것은 아니며, 치아 상태에 따라 충족하는 조건을 가진 환자분들에 한해 시행되는 방법입니다.

1단계 2단계 3단계 4단계 5단계
일반 임플란트 발치 잇몸 회복 임플란트 식립 임시 보철물 최종 보철물
즉시 임플란트 발치, 잇몸 회복, 임플란트 식립, 임시 보철물 최종 보철물

발치 즉시 임플란트 가능 조건

  • 수술할 부위 치아 주변의 치조골 손상이 적은 경우

  • 발치하는 치아 뿌리 끝 주변의 잇몸뼈가 튼튼한 경우

  • 식립할 부위에 뼈의 양이 충분한 경우

  • 발치 및 식립 부위에 염증이 적거나 거의 없는 경우

발치 즉시 임플란트 장점

  • 치료기간 단축

    발치하는 즉시 식립하여 수술 횟수와
    치료 기간을 단축시킵니다.

  • 심미성 우수

    마치 자연치아와 같은 보철물을 제작하여 장착하기 때문에 심미성이 우수합니다.

  • 통증 감소

    발치 후 바로 임플란트를 식립하기 때문에 잇몸을 절개하지 않아 부기, 통증을 감소시킵니다.

  • 골 결합 유도

    잇몸의 자연치유력을 살려 뼈와 인공치아 뿌리의 결합을 유도합니다.

  • 잇몸 뼈 보존

    발치 후 바로 임플란트를 식립하기 때문에 잇몸뼈를 그대로 보존할 수 있어 자연스럽습니다.

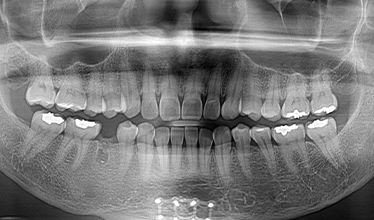
발치즉시 임플란트 CASE

CASE 01
  • 치료 전
  • 발치 후 임플란트 즉시 식립
  • 임플란트 보철 후
CASE 02
  • 치료 전
  • 발치 후
  • 임플란트 즉시 식립 후
닫기