BAEGOT TOP DENTAL CLINIC
턱관절치료
-
-
턱관절 장애란?
턱관절이란 턱뼈와 머리뼈 사이에 위치하여
두 뼈를 연결하는 관절입니다. 모든 턱 운동의 중심축으로 작용하고
근육과 인대에 의해 지지가 되는데 턱관절 사이에 있는 디스크는
뼈와 뼈 사이의 쿠션 역할을 해줍니다. 근육과 인대, 디스크, 턱뼈가 함께 어우러져
개구, 저작, 침 삼키기, 말하기 등의 활동을 담당하는데 여러 요인에 의해 기능에 이상이 생긴 것을 턱관절 장애라고 합니다.
턱관절 3대 증상
-
통증
통증의 호발 부위는 턱관절 부위가 가장 많으며, 다음으로 교근, 측두근 부위, 흉쇄유돌근의 순서로 나타납니다. 턱관절 장애로 인해 편두통이나 목, 어깨결림 등의 증상이 나타나기도 합니다.
-
관절 잡음
턱에서 ‘딱’ 또는 ‘따각’ 하는 소리로 표현이 되는 단순 관절음, ‘지익지익’ 이나 ‘사각사각’ 등의 소리로 표현되는 염발음으로 분류됩니다.
-
개구 제한
입을 최대한으로 벌렸을 때 남자는 45~55mm, 여자는 40~45mm 정도가 정상 개구량 입니다. 편안하게 입을 벌렸을 때 개구량이 40mm 이하인 경우 개구 제한으로 판단됩니다.
턱관절 비수술 치료방법
-
약물
염증성 턱관절 장애가 의심되는 경우에는 약물 치료를 진행합니다.
-
턱관절 치료기
적외선과 저출력 레이저, 그리고 고주파와 저주파를 이용하여 근육이완, 혈액순환, 신경성 등 각종 근육통 관절통의 통증을 감소시킵니다.
-
냉각 스프레이
순간적으로 표면 온도를 떨어트려 일시적으로 통증을 해소합니다.
-
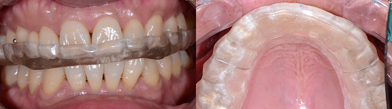
스플린트
악관절의 공간을 확보하여 턱관절의 위치를 정상 상태로 회복합니다.
-
보존 / 보철치료
스플린트 치료만으로 정상 교정이 불가능할 경우 보존, 보철치료를 병행합니다.
턱관절장치 CASE
-
치료 전 -
치료 후


