BAEGOT TOP DENTAL CLINIC
심미보철
보철치료는 치아가 손상되거나 상실되었을 때
인공 보철물로 대체함으로써
원래 치아의 기능 즉, 저작 기능 뿐 아니라
발음과 심미성까지 회복시켜주는 치료입니다.
심미보철 재료
-
-
라미네이트
심미적으로 간단한 치아 형태 성형과
미백효과를 볼 수 있습니다.모든 재료 중 가장 심미성이 우수합니다.
치아의 삭제량을 최소화시킵니다.
색과 모양이 자연치아와 같습니다.
-
-
올세라믹
강도와 경도가 자연치아와 유사합니다.
치료 후 잇몸 변색이 적습니다.
보철물의 적합성이 뛰어나 치태 침착이 적습니다.
심미성이 우수합니다.
-
-
지르코니아
강도가 매우 우수하여 어금니 보철치료와
임플란트에도 적합합니다.자연치아와 색상이 거의 동일합니다.
열전도율이 낮습니다.
생체친화성이 우수합니다.
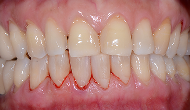
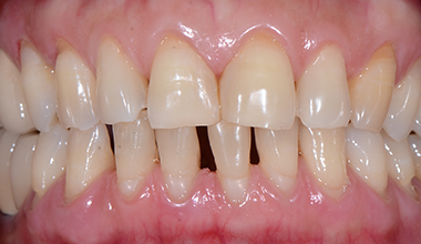
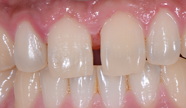
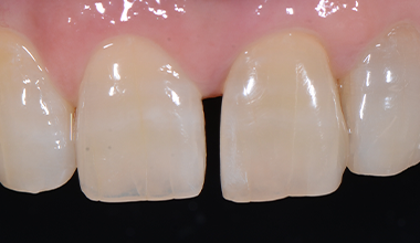
심미보철 CASE
-
치료 전 -
치료 후
다이아스테마 - 앞니 벌어짐
심미보철 CASE
CASE 01
-
치료 전 -
치료 후
CASE 02
-
치료 전 -
치료 후
CASE 03
-
치료 전 -
치료 후


